[Pressenza] Un invito da Palermo per la Palestina

Notizie da Pressenza IPA – 22.09.2025

Pressenza 

Un invito da Palermo per la Palestina

Redazione Palermo

Pressenza

Nonviolenza, Pace e Disarmo

Marco, il cammino e la Giornata della Pace

Paolo Mazzinghi

Pressenza

Diritti Umani, Nonviolenza, Pace e Disarmo

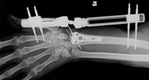
Colla ossea: la rivoluzione medica cinese che ripara le fratture in tre minuti

Claudia Aranda, Montreal, Canada

Pressenza

Asia, Cronaca, Salute, Scienza e Tecnologia

Palestina, epicentro di un nuovo ordine globale che ha cancellato il diritto umanitario

Fulvio Vassallo Paleologo

Pressenza

Diritti Umani, Nonviolenza, Pace e Disarmo

La storia ha la memoria corta

Redazione Napoli, Cinzia Martone

Pressenza

Diritti Umani, Nonviolenza, Umanesimo e Spiritualità

L’impotenza di Tajani e l’Italia in mobilitazione

Redazione Italia, Global Sumud Flotilla

Pressenza

Comunicati Stampa, Diritti Umani, Europa, Medio Oriente, Politica

La presenza rassicurante della nave Life Support di Emergency. Diario di bordo dalla Global Sumud Flotilla

Stefano Bertoldi

Pressenza

Internazionale, Nonviolenza

Le spiagge, fragili ecosistemi sconosciuti e violati

Forum Salviamo il Paesaggio, Francesca Riolo (Parma Sostenibile)

Pressenza

Cronaca, Ecologia ed Ambiente, Europa

Gaza, simbolo del nostro tempo

Redazione Palermo

Pressenza

Comunicati Stampa, Genere e femminismi, Pace e Disarmo

Dugo e le stelle: memoria e giustizia per il popolo Rom

Stefania De Giovanni, Napoli

Pressenza

Cultura e Media, Diritti Umani, Non discriminazione, Nonviolenza

San Gennaro, il sangue e la pace: l’appello di Don Mimmo Battaglia scuote Napoli e il mondo

Lucia Montanaro

Pressenza

Cronaca, Pace e Disarmo, Umanesimo e Spiritualità

Il processo di militarizzazione nelle università: focus su iniziative nonviolente

Osservatorio contro la militarizzazione delle scuole e delle università

Pressenza

Giovani, Nonviolenza, Pace e Disarmo

No all’industrializzazione eolica dell’Appennino

Redazione Italia

Pressenza

Ecologia ed Ambiente, Economia

Cronache di indicibile orrore

ANBAMED

Pressenza

Medio Oriente, Non discriminazione, Pace e Disarmo

Non si ferma il declino della partecipazione politica

Giovanni Caprio

Pressenza

Cultura e Media, Politica

Varese, grande partecipazione alla marcia per la pace

Redazione Varese, Monica Perri

Pressenza

Europa, Internazionale, Medio Oriente, Pace e Disarmo

Pressenza Agenzia stampa internazionale per la pace, la nonviolenza, l’umanesimo e la nondiscriminazione con sedi a Atene, Barcellona, Berlino, Bordeaux, Bruxelles, Budapest, Buenos Aires, Firenze, Madrid, Manila, Mar del Plata, Milano, Monaco di Baviera, Lima, Londra, New York, Parigi, Porto, Quito, Roma, Santiago, Sao Paulo, Torino, Valencia e Vienna.
Pressenza Facebook Pressenza Twitter Pressenza Youtube

Sharing - Condividi